Radiothérapie stéréotaxique à la Polyclinique de Limoges
Qu’est que la radiothérapie stéréotaxique ?
La radiothérapie stéréotaxique est une technique de radiothérapie de haute précision qui permet :
- de délivrer de très fortes doses de radiothérapie dans de petits volumes
- de réaliser des traitements dits « radio-ablatifs », qui détruisent la tumeur
- d’épargner les organes sains avoisinants
- Ses principales indications comportent :
- Les cancers du poumon de petites tailles, sans ganglions atteints et sans métastases chez des patients trop fragiles pour être opérés ou qui refusent la chirurgie
- Les métastases chez les patients dits « oligométastatiques« , c’est-à-dire qui ont au peu de métastases (< 3 en général) avec une maladie primitive contrôlée par ailleurs
- Osseuses
- Pulmonaires
- Hépatiques
- Cérébrales
- Les carcinomes hépatocellulaires inopérables
Utilisation en routine à la clinique Chénieux
Le premier traitement a été initié en novembre 2017 sur une métastase osseuse. Cette technique est devenue depuis une pratique courante notamment dans les situations oligométastatiques osseuses et ganglionnaires.
Exemple de dosimétrie d’une radiothérapie stéréotaxique d’une métastaste osseuse à Chénieux
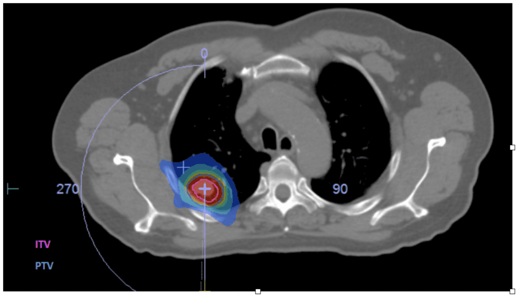
La radiothérapie stéréotaxique sur tumeur pulmonaire a été débutée en avril 2019. Cette technique, plus compliquée du fait des mouvements respiratoires, est rendue possible par un plateau technique associant un scanner dosimétrique 4D (tenant compte des différentes positions de la tumeur en fonction du cycle respiratoire) associée à une imagerie de positionnement sur l’accélérateur également équipée une technologie 4D (XVI SymmetryTM de Elekta) mais également grâce au contrôle du positionnement surfacique AlignRT® qui permet un contrôle en direct, pendant toute la durée de la séance de traitement, du positionnement de la surface du patient (et donc son ampliation thoracique). Cette technique est devenue elle-aussi depuis une pratique courante pour les petites métastases pulmonaires et les petits cancers pulmonaires primitifs non opérables.
La mise en route de radiothérapie stéréotaxique intracrânienne est également en cours de déploiement actuellement uniquement sur les métastases cérébrales.
Exemple de dosimétrie d’une radiothérapie stéréotaxique d’une métastaste pulmonaire à Chénieux






